图知网
搜索
首页
热门推荐
图片分类
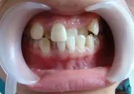
杭州格莱美口腔牙列不齐矫正前正面
下载原图
相关图片
为什么会出现牙齿不齐?了解其原因和治疗方法
换牙期的牙齿不齐矫正1
首页 牙齿矫正 牙齿不齐 2017年6月29日, 深圳爱康健口腔医院患者
小自由大幸福:24岁了,下面有几颗牙齿不齐很难看,还能做矫正吗?
成年人牙齿不齐的危害
牙齿拥挤不齐
为你推荐
身高不到160cm的小个子女生,这几款短发最好看!_发型_气质_夏天
憨憨中带着可爱的头像
no1,关公舞大刀——拿手好戏no2,关公喝酒——不怕脸红no3,关公战李逵
城市景观 i> i>水 /i> /i>桥梁无人 i> i>彩 /i> /i> i> i>色 /i> /i>
祝楼乡姚村小学四年级跳山羊比赛精彩瞬间
鬼灭之刃:柠檬精黑死牟上线,疯狂的嫉妒弟弟的才能
友谊长存简笔画7815手绘有意义闺蜜/朋友图 三年如一日 转眼间
大卫马佐兹 david mazouz