图知网
搜索
首页
热门推荐
图片分类
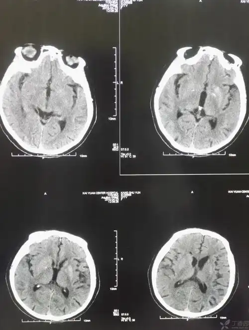
1月前发病时ct:左侧基底节区脑梗塞!
下载原图
相关图片
刘福君 左侧基底节区脑出血
头颅ct提示:左侧基底节区脑出血.出血量大于30ml.
头颅ct:右侧基底节区血肿,量约20ml.
读懂头颅ct并不难教你成为读片小能手
头颅ct提示:左侧基底节区出血,出血量约35ml,右侧基底节区陈旧心栽
女,77岁,右侧肢体不灵一天,做头ct,左侧基底节区密度偏高,ct值41hu
为你推荐
尖头男士皮鞋英伦真皮商务正装布洛克雕花男鞋头层牛皮德比鞋休闲问答
美甲也是有赏味期限的哦2021新年限定特别款今天为大家推荐的是连指甲
小宇吉他谱(图片谱,原版,张震岳,小宇)_张震岳(阿岳;chang csun yuk)
坂本美女教师小小梦魇2完结
这是英雄联盟的那
马克笔星空画马克笔星空画简单
孙悟空全身简笔画图片 孙悟空全身简笔画图片霸气
室67普通病房vip病房未来,潼南区妇幼保健院将带给潼南区所有的妇女