图知网
搜索
首页
热门推荐
图片分类
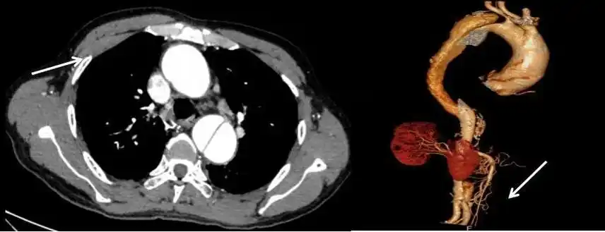
以腹痛为首发症状的主动脉夹层1例
下载原图
相关图片
主动脉夹层的诊断和治疗进展ppt
在当地医院行强化 ct 显示胸腹主动脉夹层(stanford b型),而当地医院
夹层位于降主动脉时多表现为肩胛区疼痛,腹主动脉夹层形成可引起后背
【病例讨论】超长的腹主动脉夹层动脉瘤,如何治疗 [病例帖]
主动脉夹层##腹主动脉瘤##第一血管
主动脉夹层的分型分级及分期
为你推荐
咩咩的妆造日常 ##汉服妆造教学 # #化妆造型培训妆造课开始啦!
何晴,中国著名女演员.
琴谱pacificrim环太平洋主题曲含简谱
女童凉鞋2017新款夏季公主高跟韩版学生女孩中大童儿童鞋沙滩凉鞋
8款男士"两边剃光"发型真帅气,渐变的层次感越看越时髦
黑白线条临摹练习
男人,爱,雪茄,人,垂直画幅
卫子夫角色介绍_大汉天子演员表卫子夫_电视剧_吉剧网