图知网
搜索
首页
热门推荐
图片分类
文档下载 所有分类 表格/模板 合同协议 > 室内装修报价单1 1 140.
下载原图
相关图片
装饰工程报价单
装修报价明细表免费下载_装修报价明细表excel模板下载-下载之家
装修工程报价单excel模板
4,200 350 26无忧文档 所有分类 工程科技 建筑/土木 装修报价明细表
装修报价表1
装饰施工 上海装修合同 工程结算范本 工程明细表 装修报价 的相关
为你推荐
摩登如来神掌官方剧照 剧照图片 _ 摩登如来神掌摩登如来神掌电影剧照
上海哈哈少儿频道主持哈哈小店的璐璐姐姐叫什么?,有没有图的
出一台21年发现5路虎发现2021款360psr
关羽斩颜良,过程是怎样的?正史记载让人难以置信
工笔画底稿工笔鸡 公鸡斗方白描27#打印稿 宣纸稿学习临摹
英短银渐层—一个讨喜的福气小猫.
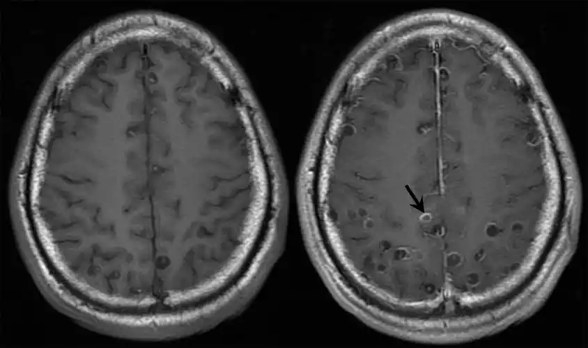
一文读懂脑囊虫病的影像学表现
或许冯巩真的很想马季了吧,所以即便是已经过去15年,当再次站在师父墓