图知网
搜索
首页
热门推荐
图片分类
"驳回那么多次都是我,你绝对是在针对我吧?
下载原图
相关图片
绝对是你说什么牛牛就做什么,只要是男人该做的事情他们都会去做的
动漫精选一言不合就干了个爽这部番让你见识一下宅男的幸福生活
他们绝对做了吧漫画_他们绝对做了吧全集最新章节阅读_360漫画
动漫 卡通 漫画 头像 1068_1000
他们绝对做了吧漫画
她用自己的生命来捍卫作品反对魔改……|剧本|漫画家|小学馆|交响情人
为你推荐
服装效果图 #服装设计效果图 #马克笔 #效果图
国庆背景视频五星红旗飘扬国庆晚会led大屏背景舞台视频素材# - 抖音
图文:图表·漫画:(环境保护 一>)贫穷的母亲
乔桥的推荐 | lofter(乐乎) - 让兴趣,更有趣
不应该是9月份做账,计提9月的,发放8月工资吗?
第四套人民币中的50元,有两个版本,分别是1980版50元和1990版50元
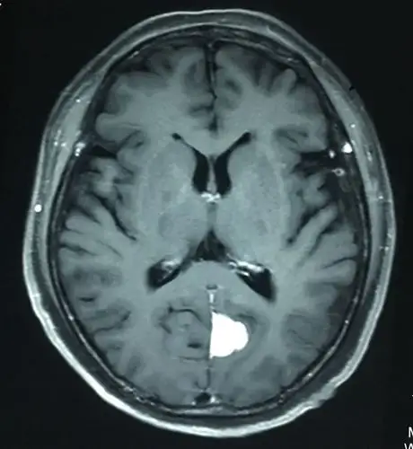
枕部大脑镰良性脑膜瘤 - 好大夫在线
无国风不电音,徐梦圆开启2019多益嘉年华国风电音主题夜!__凤凰网