Warning: session_start(): open(/tmp/sess_5jib8ra2a8pp2ljchq6gfpmir6, O_RDWR) failed: No space left on device (28) in /www/wwwroot/www.tuzhiw.com/config.php on line 13

Warning: session_start(): Failed to read session data: files (path: ) in /www/wwwroot/www.tuzhiw.com/config.php on line 13
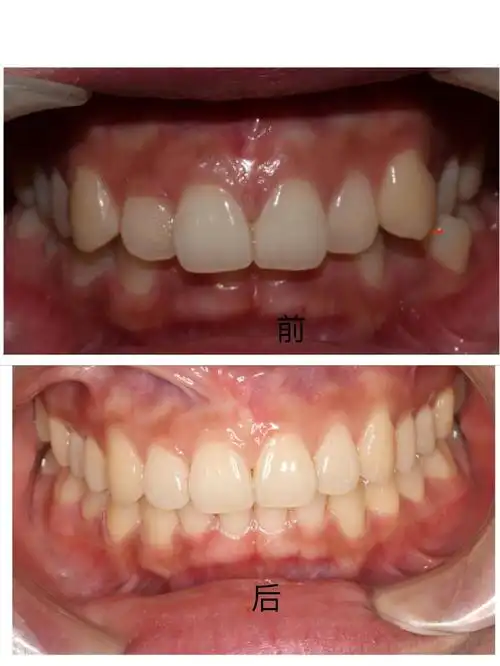
牙齿矫正前后对比照片 - 图知网

牙齿矫正前后对比照片

相关图片

为你推荐

『刘耀文』我们丸子小时候太可爱啦,吃西瓜都帅到我

简单好吃懒人早餐芝芝莓莓隔夜燕麦杯60

头皮老长这东西,像痘痘,很痛,这是为什么?怎么解决?

化蝶

又名帝象,化名中山樵,伟大的民族英雄,伟大的爱国主义者,中国民主革命

贵州黄果树西江千户苗寨荔波小七孔景区夜郎洞石头寨6日5晚私家团

瘊子的危害及症状?

和@苏醒allensu@杨鸣12@汪聪一起来揭晓村ba追梦队诞生的闪耀时刻


Warning: file_put_contents(/www/wwwroot/www.tuzhiw.com/cache/image/d0ed305ea17b5189932464b5ec0f9a4b.html): Failed to open stream: No space left on device in /www/wwwroot/www.tuzhiw.com/config.php on line 196