图知网
搜索
首页
热门推荐
图片分类
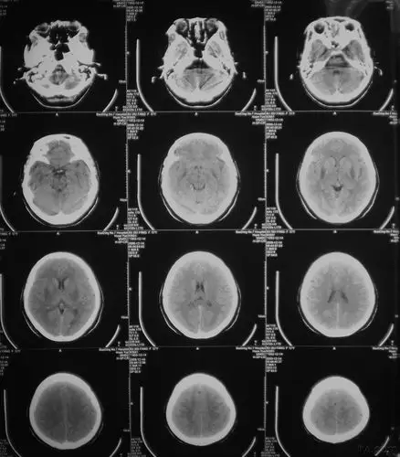
左侧基底节区普遍高密度影是什么呢 - 影像医学和核医学讨论版
下载原图
相关图片
大家看看这双侧基底节区低密度影是什么病变?
脑卒中的影像学诊断
左侧基底节区普遍高密度影是什么呢 - 影像医学和核医学讨论版
左侧基底节区普遍高密度影是什么呢 - 影像医学和核医学讨论版
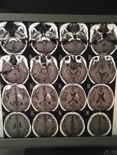
两侧基底节区信号如图,患者有高热,考虑脑炎?基底节区脑炎常见吗?
累及双侧基底节的十大病变
为你推荐
王俊凯动漫q版图片粉丝求图qq爱的你就是这么q弹可爱
d小调短琶音三个音儿童钢琴练习曲钢琴谱
武田信玄
首都机场南线收费站开放 巴士可达t3航站楼(图)
halloween theme main title钢琴简谱-数字双手-john carpenter1
300g冰白纸珠光特种纸名片烫金激凸工艺商务卡片定制印刷创意制作
必买经典30款之:百达翡丽 5167a-001
原创死神破面刀剑解放大盘点