图知网
搜索
首页
热门推荐
图片分类
【碧桃仙】小乔七夕节皮肤特效展示
下载原图
相关图片
英魂之刃叶见欢被打入冷宫的小乔仙子
英魂之刃决战小乔第三视角
英魂之刃小乔介绍 英魂之刃小乔出装打法攻略
英魂之刃小乔皮肤碧波荡漾怎么获得
《英魂之刃》小乔七夕皮肤——碧桃仙欣赏
英魂之刃蝌蚪-究极保姆1保1系列之小乔!
为你推荐
古风 #古风美男 #谪仙 #高清壁纸 - 抖音
葱油豆腐皮
供应广东珍禽珍珠鸡种苗珍珠鸡种蛋
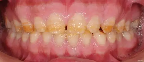
【病例讨论】一例少见的全牙列釉质发育不全患者,求修复方案 [病例帖]
南无阿閦如来.1能拔诸苦.与观世音菩萨名号一样,能以名号救有 - 抖音
会议丨第四届临床精准用药研讨会暨2019年药物安全评价研究专委会年会
绣眼小鸟笼套装(普通方笼竹靛颏鸟笼纯手工鸟笼麻雀玉鸟笼)