图知网
搜索
首页
热门推荐
图片分类
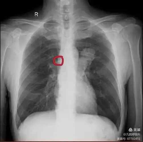
晚期肺癌的长期生存在坚持与关爱中实现
下载原图
相关图片
右侧中心型肺癌,右肺切除术后两年,术后残腔?——中心医院病例库
支气管肺癌怎么读片看看不同类型的支气管肺癌影像诊断
肺癌分期是怎么定的有什么区别吗
refer肺腺癌iii期的治疗方案-肺癌帮
西安市第九医院为一例肺癌化疗患者实施picc置管手术
肺癌被称为"癌中之王",但肺不会痛_四川健康网 天府健康网|四川第一
为你推荐
喜欢夏天的冰饮04喜欢夏天的吊带91短裤05 - 抖音
高清可爱的卡通奶茶头像图片
【官方直销】万代(bandai)shf迪迦奥特曼真骨雕 手办同款shf强力型
武汉长江大桥简笔画图片
百美画谱 58 宝钗扑蝶
夫妇在家里.年轻女孩和男孩在一个舒适的房间324_208
解析重庆轨道交通6号线礼嘉站的特色:两条分支可以同向同台换乘
万里长城简介