图知网
搜索
首页
热门推荐
图片分类
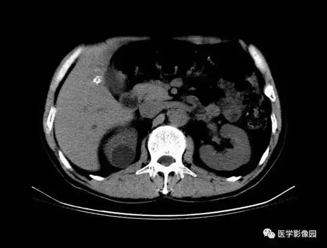
查体 辅查 腹部ct检查,发现左肾囊肿,大小约7*6cm
下载原图
相关图片
肾囊肿会复发和癌变吗_肾癌_预后_发病原因 - 好大夫在线
体检查出左肾两个囊肿,大小16mm×12mm,9mm×7mm,左肾囊肿22×17mm,是
泌尿生殖系统 第二节 泌尿系统病变 五,泌尿系统畸形(七)单纯性肾囊肿
ct所见:右肾囊肿.
术后三月复查ct提示肾囊肿明显缩小,囊壁塌陷,治疗效果显著.
右肾囊肿ct
为你推荐
对镜子拍照系列
「吉他谱」-「忽然之间」莫文蔚,c调原调简单版c调六线吉他谱-虫虫
男女情侣沙雕头像
求会ps的好友,帮我把财神图片背景弄成金光闪闪的
无声天使北京2022冬奥会冬残奥会奖牌设计背后的故事
烤虾
西瓜简笔画教程.这个西瓜简笔画太简单了一学就会#儿童简笔画 - 抖音
秋葵花—小庭日渐添佳致