图知网
搜索
首页
热门推荐
图片分类
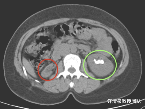
图16 左肾结石
下载原图
相关图片
ct片上显示肾里塞满了结石
这类肾脏致密影不是单纯肾结石
ct影像显示肾脏被巨大结石霸占.长沙晚报通讯员 胡薇华 陈昊 供图
左肾结石-右肾萎缩_肾萎缩_发病原因_治疗方式 - 好大夫在线
左肾积水结石影.
泌尿系统结石之肾结石ct表现 - 好大夫在线
为你推荐
今日份jerry临摹
q版明星简笔画
短发性感美女诱惑吊带写真
第五人格 先知 伊莱
恋春风g调古筝谱刘乐编曲
肱骨远端骨折课件.ppt
黑吃黑第二季bansheeseason2的海报
宝坻最地道的云南傣味可以城里外送啦