图知网
搜索
首页
热门推荐
图片分类
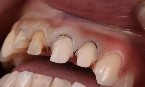
谭建国美学秘技001如何获得临时冠完美的边缘密合
下载原图
相关图片
自动取冠器 牙科材料 齿科材料 牙科设备
全瓷冠二次修复案例--操作细节把控 细节决定成败
全瓷冠二次修复案例--操作细节把控 细节决定成败
本发明涉及硬化的预成形复合牙冠含有这些齿冠的零部件套件其生产方法
冠桥|upcera .12.11.21.22.41.31 - 睿齿美学工作室
前牙氧化锆全瓷冠仿生修复解析~李强
为你推荐
战玲珑2
水泵风车图片-水泵风车素材-水泵风车插画-摄图新视界
现代简易铁艺置物架落地金色北欧书架创意架子客厅隔断陈列展示柜
三角形的中线,高线,角平分线
常见摩托车整流器点火器的插头接线图
深圳人民法院
112年前没有钟南山,东北那场死了6万人的肺鼠疫是怎么结束的?
唯美梦幻少女水晶星空4k动漫壁纸