图知网
搜索
首页
热门推荐
图片分类
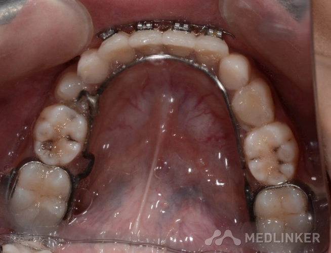
儿童牙齿阻萌器 11566早期萌出的恒牙可能与乳牙错位,即新长出的
下载原图
相关图片
乳恒牙替换时应注意的问题
当乳牙早失后,恒牙胚如无牙槽骨覆盖,往往会提前萌出,对于早萌的恒牙
阻萌器抑制第一前磨牙萌出
3d打印阻萌器-矫正器-云南家红齿科技术股份有限公司
有的乳牙掉早了真会影响恒牙
【关注】乳牙早失:一个隐形的颜值杀手,千万别坑娃!_恒牙
为你推荐
好看的桌面壁纸电脑桌面壁纸软件
猪油
世界上最勇敢幸福的一对猫猫狗狗,他们的合照更是惊艳了世界!
申龙自动扶梯人行道短轴踏板rx.Ⅱ1200/1000/800a不锈钢踏板梯步
玩具总动员卡通电影迪士尼图片素材壁纸胡迪巴斯光年高清toystory
儿童乐园有哪些热门的小型游乐设备儿童淘气堡是一项综合性比较强的
(图表·插画)〔二十四节气·大寒〕大寒迎年 趁墟_腾讯新闻
迷铭乐 迷你小火炮金属不锈钢迷你小火钢炮仿真迫击模型摆件玩具