图知网
搜索
首页
热门推荐
图片分类
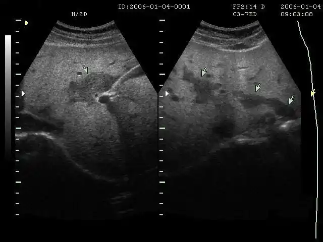
主要症状等):今天去体检,超声检查说有脂肪肝,平时没有明显症状或不适
下载原图
相关图片
【超乎想像】从超生的角度带您了解脂肪肝
脂肪肝如何分度
脂肪肝b超影像图
b超看的,这个脂肪肝啥程度?
脂肪肝—"后段声衰减"图10 脂肪肝—"衰减"另外一个超声可以诊断的
杭师大附院儿童脂肪肝联合门诊开诊首日小胖子扎堆
为你推荐
如果两个人在一起还没一只狗高兴
卡通q版可爱女生头像
姜梓新王冠逸上演"黑白配"再同框,网友:这对cp太有夫妻相
大胡子叔叔头像
茶楼价目表图片
科研院所 协会,社团,政府公用事业 期望职业: 公务员/事业单位人员
96纸箱变废为宝丨幼儿园手工丨古代乐器 幼儿园又留作业了 这次是
农村路旁的"草鞋底",草煎水喝有奇效,治感冒咳嗽教你一招?