图知网
搜索
首页
热门推荐
图片分类
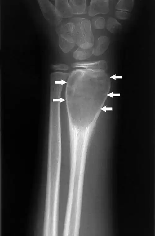
骨囊肿
下载原图
相关图片
肱骨近端骨囊肿一例
临关节骨囊肿吗? - 影像医学和核医学讨论版 -丁香园论坛
腕部动脉瘤性骨囊肿
一例胫骨骨囊肿? [病例帖]
讨论跟骨囊肿?
其它 动脉瘤样骨囊肿(abc) 写美篇影像表现: x线示右肱骨近段低密度
为你推荐
陈坤儿子陈尊佑的母亲是谁 陈坤为了她13年不结婚
原创张钧甯有多美看过她的素颜才知道网友原谅我已无法自拔
电脑壁纸 明星 大陆明星 王一博复古帅气阳光迷人写真
呷一口蚝杰酒香_烧烤
小组合静物素描示范
湖南大学建筑系列老图书馆和大礼堂
假面骑士空我头像
战神斯巴达┃3612425在杯光盏影中享受胜者为王的夜宴