图知网
搜索
首页
热门推荐
图片分类
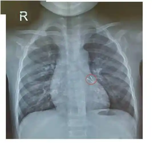
邝伯的胸片显示假牙掉落在支气管内
下载原图
相关图片
【x线讨论】支气管异物胸片病例讨论一例
图说:气道被异物占位 医院供图(下同)
儿童气道异物科普_气管异物_介绍_检查_治疗方式 - 好大夫在线
吞下异物误入肺呼吸内镜显神威
支气管结核吃药5个月了,能帮我看看胸片的吸收情况吗?
1岁半宝宝咳嗽一周肺里有"长脚"异物,竟是过节用的小灯泡_孩子_支气管
为你推荐
广州电视塔图片
乐高(lego)-60002-1-消防车-积木高手-免费图纸说明书下载
『假面骑士climax heros』,是由eighting公司开发,namcobandaigames
香气扑鼻鲜玫瑰花
纯洁的凝视图片_纯洁的凝视动态图_纯洁的凝视表情包gif动图下载_soo
掌握马赫曾德干涉仪的原理和结构; 2.
看看pc阳光板常见的应用场景有哪些?|阳光板|幕墙|玻璃|建筑
厚薄度适中的洗脸巾可以折 p4,5为这玫瑰花的简易教程 丝诺的