图知网
搜索
首页
热门推荐
图片分类
肾衰竭患者能造影吗
下载原图
相关图片
冠脉造影术在局部麻醉下进行,而血管及心脏内均无感觉神经,患者只在
一是正好到了医院门口又被人发现了,及时治疗,二是心脏血管狭窄这么
造影狭窄图
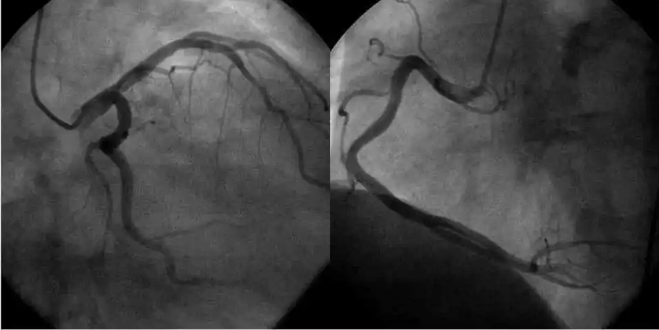
心脏循环有没有狭窄,下面这张图是一个有糖尿病,高血压的患者做的造影
冠心病血管造影图像
未必!这几种情况才需要做心脏造影
为你推荐
6月12日孝感市土拍起始价3519万元出让孝国土开p201808号商住地块
动漫紫罗兰永恒花园动漫卡通壁纸
毛晓彤俏皮高马尾##毛晓彤小雏菊耳钉
在2019年为该系列电影划上了完美的句号,但是甄子丹最近通过个人社交
双杆文人黑骨茶盆景
活字印刷
古代上朝官员
世界人种的分布 黄色人种 黑色人种 亚洲中东部,北美洲北部,南美洲中