图知网
搜索
首页
热门推荐
图片分类
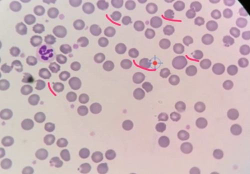
其他红细胞上的紫色小点,是染料附着.
下载原图
相关图片
点击下方空白区域查看答案▼「含有豪焦氏小体的嗜多色性红细胞」形态
各位老师好,本人工作经验不足,碰到一标本cbc除血小板极低外, 其他
▼「靶形红细胞」形态特征:细胞中央深染,外围苍白,边缘又深染,呈靶状
犬猫血液学检查技术与判读2认识红细胞
答 案:有核红细胞内豪焦小体 解 析:豪焦小体也称染色质小体,成熟红
检验人海外"出征"记!"镰形红细胞"一例
为你推荐
虎牙直播
什么女人旺夫什么眉毛最好
国家体育馆在2008年北京奥运会期间举办了体操,蹦床,手球比赛,残奥会
陈德容:周星驰天天来接我,可我们差了14岁,我的要求也挺高的
摸摸右护法我不是教主烛幽热度(50)评论(5)推荐打开新页nan.
白蛇缘起小白精美壁纸纯粹的人妖爱情在小白和阿宣之间产生了
上火清炒,香喷喷的自制豆芽菜
十岁女孩的青春