图知网
搜索
首页
热门推荐
图片分类
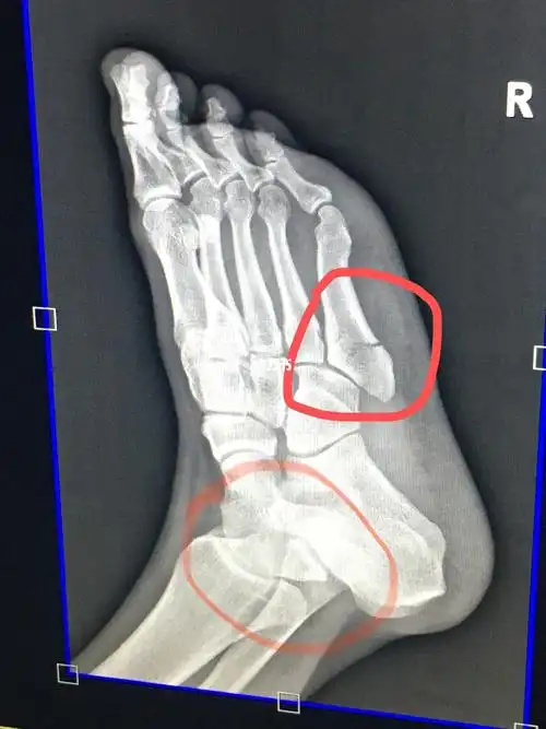
第五跖骨基底骨折40天复查 骨折40天了,还有一点缝,脱拐走路一星期
下载原图
相关图片
9月26日,踢球落地崴脚,第二天拍片发现第五跖骨骨折,打石膏38天了
左足第五跖骨基底部骨折
左脚第五跖骨骨折
第五跖骨骨折1个月 从2月13到3.14,骨折30天了,满一个月了.
x线诊断为左足第5跖骨基底部骨折,请问严重吗?如何尽快恢复?
我的右脚第五趾骨骨折记录 - 知乎
为你推荐
爱情的头像图片点击鼠标右键下载
半臂纹身遮盖
昂江扎西活佛
法国零食乔幕truffles法国原装进口松露巧克力原味70黑巧礼盒罐装新年
某五层砖混住宅楼建筑结构图纸- 结构图纸 - 沐风网
时代少年团古装合集来了宋亚轩马嘉祺刘耀文穿古装也太帅了吧
男外模模卡
回顾这一次,四大天王中"最低调"的黎明,却能让世界刮目相看