图知网
搜索
首页
热门推荐
图片分类
25t汽车吊起重性能表共1页
下载原图
相关图片
25吨吊车起重性能表_第1页
25吨吊车参数表
徐工xct25起重性能表
徐工qy25k5i起重机——经典"k金款"续写十年传奇
25t汽车起重机参数xct25l5
中联25吨5节臂_吊车性能参数表_小程序_资讯_998工程机械交易网
为你推荐
航竹坊沙发8089【价格 图片 品牌 报价】-苏宁易购米格佳家居专营店
仙人掌科乌羽玉的移苗上盆
李宁运动套装男士春秋款三件套跑步2021新款秋冬季休闲宽松运动服
关于怀念的伤心句子1,怀念过去,如同流星划过的痕迹,爱过的心灵,痛过
160马力拖拉机 ltd1604 td底盘 四力驱动拖拉机 东方红动力机
风扇电机是单相电机,它的调速是抽头式调速,你的要求是直接转动,不要
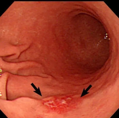
胃镜下早期胃癌表现
【2012.06.05】【影视】《幽灵》崔丹尼尔全身打石膏的照片成为话题