图知网
搜索
首页
热门推荐
图片分类
潘通pantone高级金属色
下载原图
相关图片
用了这个新版彩通pantone音潘通色卡,颜色搭配更精准,设 - 抖音
pantone色卡,助你识别更多色彩
国际标准潘通pantone色卡特别金属色与珠光色以供产品设计smpg100
pantone色卡u版
美国pantone色卡
潘通(pantone)tcx棉布板色卡
为你推荐
毕雯珺不要乱用脸了
活动作品苍穹之昴老佛爷一生的旗头发饰15款大清宫斗总冠军
古代士兵守城如果去推倒云梯结局会是立功吗
多功能平板拖车定制全挂物流牵引车工矿码头牵引平板拖车
zhongfenghua/钟风华-《西游记》1
朴彩英
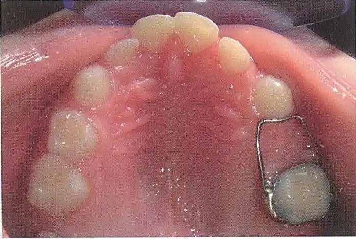
乳牙掉得早间隙保持要做好
郑州游乐园(郑州游乐园方特欢乐世界)-骁龙网