图知网
搜索
首页
热门推荐
图片分类
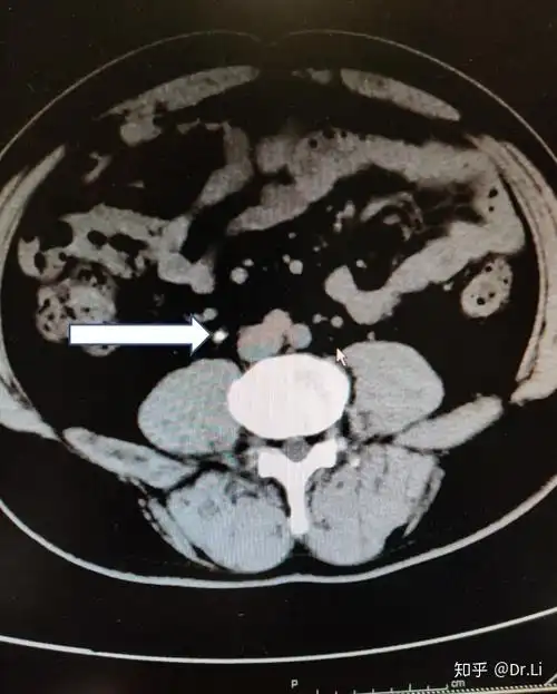
震波碎石后复查ct提示右侧肾盂输尿管连接部小结石,右输尿管中下段
下载原图
相关图片
左输尿管上段结石
箭头所指为输尿管结石箭头所指为输尿管结石ct检查是发现结石最有效的
逆流而上的输尿管结石 - 好大夫在线
无腰痛的输尿管结石危害大,需及时,正确处理 - 好大夫在线
双侧尿路结石-肾盏结石右输尿管结石_泌尿系结石_泌尿系结石治疗方式
右侧输尿管结石伴肾盂输尿管积水一例(男性,63岁)
为你推荐
2023爆款短发烫发来袭,时髦洋气,显气质又有高级感
身的笔顺拼音及解释
香奈儿粉色邂逅淡香vs浓香
广寒宫简谱完整版,广寒宫简谱简单-图片大观-奇异网
进行街道卫生清扫
来看被骗钱的名目:保险费,体检仪器押金,怀孕风险金,退款前转账
向左?向右?沈阳城市的未来畅想之构建空间格局|浑南|天津|太原街_网易
芙蓉街美食