图知网
搜索
首页
热门推荐
图片分类
一步封神工具:ps wacom手绘板#国风插画 #插画分享 #古建筑 #古风
下载原图
相关图片
ps 手绘板,笔刷:一般的勾线笔,想要笔刷可以找我拿#国风 #建筑速写
手绘程阳八寨古建筑,记录美好生活.
画里榆林手绘榆林古建筑
画里榆林手绘榆林古建筑
手绘古代建筑矢量素材
史明克水彩颜料#钢笔淡彩 #古建筑风 #寻找小红书绘画大神 #手绘
为你推荐
刘耀文(明星静态壁纸) - 静态壁纸下载 - 元气壁纸
给自己一颗糖生活还是很甜的
秒批丨深圳发出首张秒批企业营业执照
假装自己在宾馆的照片 但能接受这样的老公吗?男朋
进入战国时期(公元前475—前221年),虽然属于七雄之一,但燕国的实力
赛拓(santo)2191 超静音无声手推车 折叠平板车搬运车小推车600斤
超兽地狱》) 一角超兽 巴克西姆 第四话 《3亿年超獣出现》(《3亿年
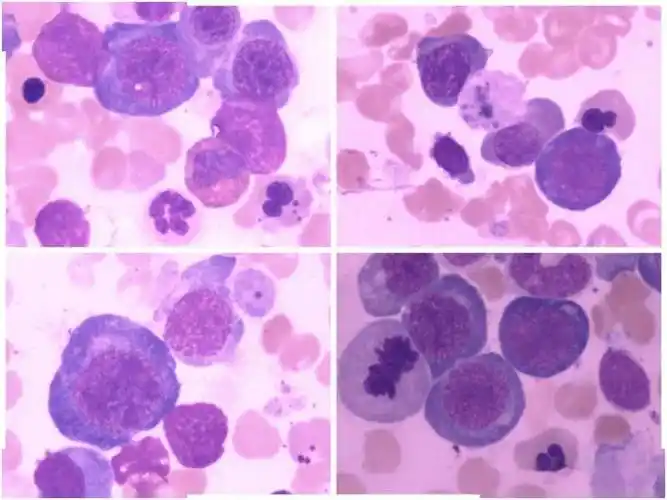
病例分享:巨幼细胞性贫血_骨髓_检查_现象