图知网
搜索
首页
热门推荐
图片分类
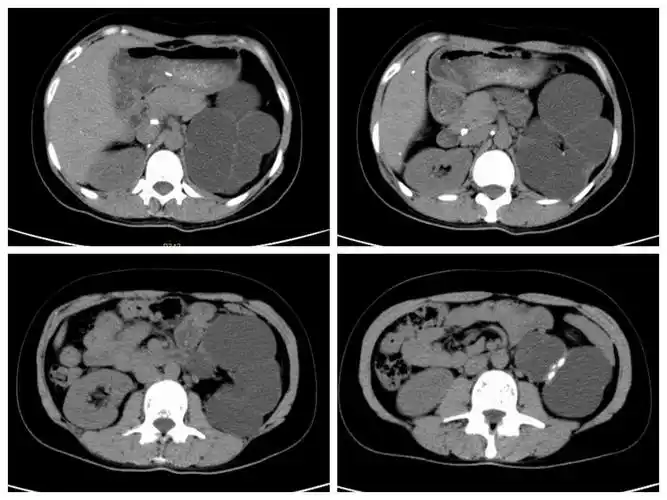
术前双肾ct增强
下载原图
相关图片
请教肾脏ct
彭光伟主任了解病情后,迅速安排了相关检查,经增强ct检查提示:左肾
腹部ct扫描提示右肾中度积水,右输尿管扩张明显.
术前双肾ct平扫
ct示:右肾积水
腹部ct平扫显示:右侧肾窝未见肾脏显示,腹腔内见疑似肾脏影 .
为你推荐
十二星座简笔画 汉服古装 萌萌处女座星座简笔画汉服处女座古装
画笔简笔画工具画笔和调色板的简笔画画笔的简笔画
最适合15岁左右的圆脸女生发型,这8种很不错,百变时尚有个性
59岁张曼玉罕见露面,全素颜被路人抓拍,憔悴不堪瘦得撑不起衣服
上海人家鸡汤馄饨
三丽鸥sanrio 小羊piano
小姐姐嘟嘟嘴这个动作我看了不下十遍,大红唇太可爱了_哔哩哔哩 (゜
艾维茵白羽肉鸡