图知网
搜索
首页
热门推荐
图片分类
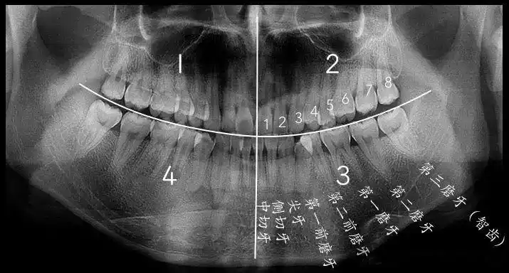
三分钟教你看懂牙片! 牙齿中间出黑线? 食物残渣爱塞缝?
下载原图
相关图片
全景片上智齿怎么看
看牙片不求人手把手教你自己看牙片
牙片详解,教你看懂牙片!_口腔_牙齿_全景
牙片详解,教你看懂牙片!
2,全景片判断牙齿的拥挤程度.
怎么看口腔全景片
为你推荐
日本动漫《灌篮高手》中樱木花道和流川枫本来是情敌……_影视资讯
朱砂痣的象征和寓意,有趣的说法?
《精灵梦叶罗丽》曼多拉最大的两个阴谋,其中一个跟黑香菱有关
真相如何成都49中坠亡学生母亲存疑家人遮遮掩掩为哪般
佛家法器
三国时期,蜀汉的五虎上将分别起到了什么作用?
网红沉珂微博晒照,非主流鼻祖一席古装,眼神犀利!_网易订阅
中华小吃面点麻花