图知网
搜索
首页
热门推荐
图片分类
牙周脓肿首先解决急性症状,比如有脓肿形成的,先行切开引流.
下载原图
相关图片
目前在牙周病科广泛应用,如辅助治疗重度牙周炎,牙周脓肿等
然而,肿包却反反复复,到齿科一检查竟被告知:要做根管治疗.
牙周脓肿
口腔医学急性根尖周脓肿与急性牙周脓肿
牙周脓肿
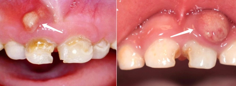
两岁宝宝门牙的牙龈上长脓包?
为你推荐
气质冷艳的女明星胡冰卿唯美阳光街拍性感写真
金晨《你好星期六》剧照真的好喜欢好六的这身造型小卷毛好可爱,满满
职业生涯规划书-封面_第1页
开鲁县公安局举行警车集中发放仪式
《我的世界》生物图鉴 和平篇
藏传佛教噶玛噶举派主寺楚布寺举行展佛仪式
简笔画教程好看的板书边框简笔画边框图片手抄报用彩铅画精美的手抄报
铁骨芳心