图知网
搜索
首页
热门推荐
图片分类
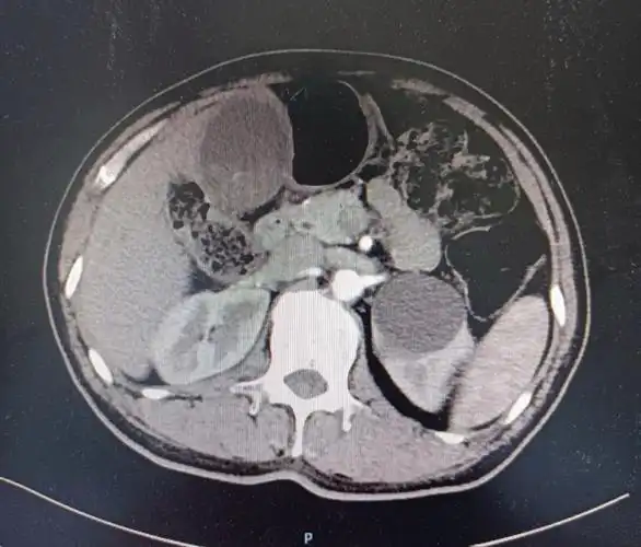
男63胆囊炎胆结石致梗阻性黄疸什么叫mirizzi请检阅
下载原图
相关图片
急腹症影像:胆道结石ct表现!
胆囊结石并急性胆囊炎常规诊治
社区医院病例回顾61高龄老人胆总管结石的处理
急腹症影像:胆道结石ct表现!
男63胆囊炎胆结石致梗阻性黄疸什么叫mirizzi请检阅
ct提示胆囊结石伴胆囊炎
为你推荐
寸头发型干净利落
美女紧身裤穿出肉感浑圆的身线_手机搜狐网
足底筋膜炎的推骨手法
巴尔坦星人
韩国留学在职博士怎么申请?韩国中部大学寒暑假博士的优势
100天#儿童摄影 #客片分享 #胖嘟嘟小可爱 #同城热 - 抖音
雍正御制!珐琅彩鎏金好运连连蒜头瓶_彩绘瓷/彩瓷_第9张_7788瓷器
丽人丽妆敲钟上市总市值超70亿