图知网
搜索
首页
热门推荐
图片分类
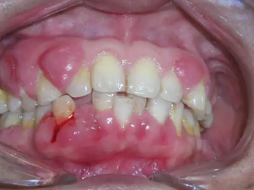
牙周炎图片_牙周炎症状表现图片大全_有来医生
下载原图
相关图片
牙周炎的早期症状
牙周炎的临床症状主要有:牙龈出血,口臭,牙龈溢脓,红肿,酸软等.
【牙周炎图片】_表现症状_预防_苹果绿
牙周炎图片_牙周炎症状表现图片大全_有来医生
牙周病的症状图片
牙周炎图片_牙周炎症状表现图片大全_有来医生
为你推荐
狮子卡通
婺源的徽派民居
郑州市第十二中学
1,气候条件: 我国气候类型分布
水果店怎么取名字
华为mate8pro
alessandra sanguinetti | magnum photos * rebecca bengal 与摄影
monsters吉他弹唱教学精华版高音教猴哥吉他教学