图知网
搜索
首页
热门推荐
图片分类
《爱情公寓》爱情公寓5集体照
下载原图
相关图片
重刷了《爱情公寓》第一季到第五季的片头,发现了隐藏的三个秘密
【爱情公寓全员】十年爱情公寓——爱的回归线
《爱情公寓》来袭引发回忆杀 《奔跑吧》邓超陈赫撕名牌自相残杀
全体成员回归爱情公寓5即将来袭跑男客串登场只是少了他
爱情公寓3桌面壁纸之精彩剧照
电视剧《爱情公寓》主题曲我的未来式
为你推荐
1080_1441竖版 竖屏
藕节芦根白茅根丨治流鼻血同仁堂南京同仁堂藕节芦根汤包白茅根藕节
海尔统帅全自动滚筒洗衣机怎么样
弗雷尔卓德的莽夫奥拉夫真的很勇
天子娱棒棒糖投币开心糖果礼品自动售卖游艺儿童游戏机
肩膀酸颈椎病2套简单的肩颈理疗瑜伽动作一定要常练
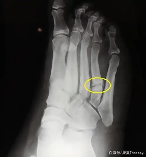
走这么多路,不怕骨折吗?医生提醒,走路脚疼要小心是骨折
重庆高新区580亩优质地块即将上线