图知网
搜索
首页
热门推荐
图片分类
求助:双踝嵌入性骨折.
下载原图
相关图片
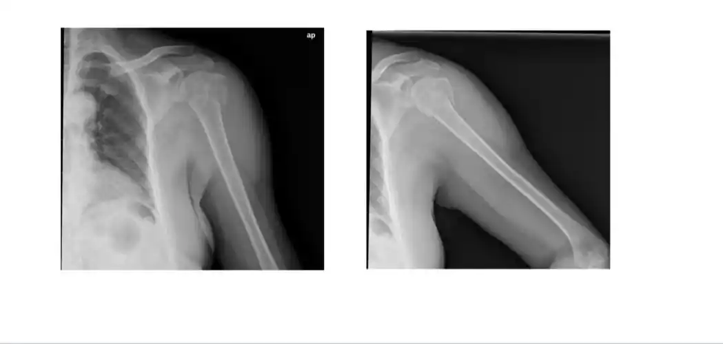
这是一例外翻嵌插的骨折,肱骨头的外翻单纯靠牵引是不能纠正的
医学生笔记骨折02
外翻嵌插型股骨颈骨折31-b1.2的疗效好于31-b1.
左股骨颈部致密贤影,考虑骨折嵌插,边缘台阶征,双斜位观察,以内斜位为
丨型股骨颈骨折
急诊完善相关的辅助检查,超声引导下臂丛麻醉行"右肱骨远端粉碎性骨折
为你推荐
任嘉伦笑起来,可以杀了我啊.姐妹们有他笑起来的图分享吗?
中国最美的十大古镇(图文)
车银优
跟随美的足迹
包汤圆祈团圆细幼小班元宵节活动
诺基亚5250手机
平行宇宙分两种:时间平行与空间平行,同一宇宙会不会有平行空间
资料电影赛车总动员2角色图麦克飞弹