图知网
搜索
首页
热门推荐
图片分类
翻出了期间的各种片子,报告,开始研究,结果看到了手腕x光片的报告,尺
下载原图
相关图片
术后一个半月去拍了正侧位的x光,然而骨头还是断裂的,手腕上下翻折也
腕关节第4间室腱鞘炎超声表现
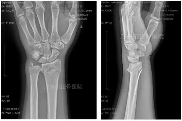
9岁男性桡骨远端尺骨骨折患者手腕部x线表现
图片
手腕x线图像
左腕关节正位x线片和侧位片.类风湿性关节炎的概念.
为你推荐
欧美西装雅痞头像_微信头像图片大全
帕加尼风之子zonda汽车壁纸_炫酷的跑车
天官赐福# 天官赐福壁纸!
简笔画小女孩可爱头像手帐素材
割手腕伤疤图片大全女 - 搜狗图片搜索
你喜欢孔雀,你也喜欢画孔雀!我一直珍藏了很多年
灰毛衣&灰百褶裙&小白鞋 同色系搭配可以搭出高级的效果,更何况灰色
广州中山纪念堂演唱会选座指南 准备开抢黄妈3.