图知网
搜索
首页
热门推荐
图片分类
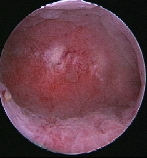
镜界宫腔镜下子宫内膜息肉的诊断与治疗规范
下载原图
相关图片
宫腔镜检查.jpg
宫腔镜下的子宫内膜炎是啥样的
宫腔镜检查可以发现子宫内膜癌吗?
宫腔镜下的子宫内膜炎是啥样的
宫腔镜下扭曲的节育环
宫腔镜下扭曲的节育环
为你推荐
50张不重复宫崎骏龙猫卡通动漫形象创意动物贴纸个性装饰防水贴画
王者荣耀宫本武藏呆萌头像
中年男星秃头灾情惨重头顶稀疏能反光后脑勺都没几根毛
50岁"雪姨"为43岁黄奕下跪,场面险失控,何洁反应更引人关注_王琳为
张予曦绝美民国造型,一颦一笑牵动人心
11 / 20 新浪娱乐讯 2月22日,香港,郑佩佩爱女原子鏸与外籍老公mehdi
活动作品最终幻想7重制版第八章开始爱丽丝和克劳德的对话
五年级必读书目西游记人物关系思维导图