图知网
搜索
首页
热门推荐
图片分类
全胸片正常解剖胸部及心肺基础知识复习
下载原图
相关图片
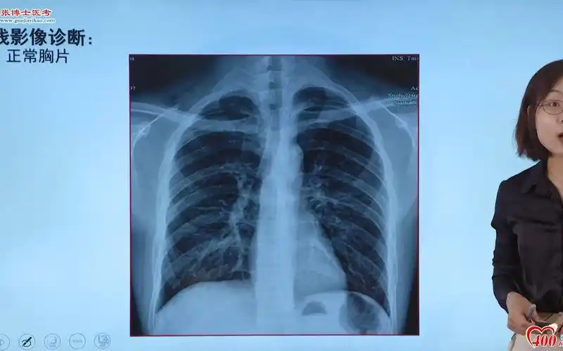
(一)正常胸片中的心脏与大血管 正常胸部解剖结构及后前位胸片如上图
正常胸片胸部ct阅读
影像-正常胸片
正常胸片中,清晰可见纵隔边缘,和心脏后的血管;膈和心隔角清晰.
正常胸片
一张胸片能给我们提供多少信息
为你推荐
精选的风景微信聊天壁纸
过马路时一定要走人行横道,严禁随意横穿马路.
宋亚轩绝美照片 宋亚轩绝美照片
包含:图纸说明,图纸目录,图纸符号说明,平面图(原始平面图,墙体拆除
老师,请问这个三相电动机正反转实物接线应该怎么接
水果柑橘手绘插画(2000x2000)png橙色插画梯子手绘卡通海报banner元素
诚信赢天下图片
性感睡衣女透视衬衫情趣大码中长款宽松韩版bf风雪纺长款女衬衣