Warning: session_start(): open(/tmp/sess_bf3735k81gv6ui87kg5pqh0k84, O_RDWR) failed: No space left on device (28) in /www/wwwroot/www.tuzhiw.com/config.php on line 13

Warning: session_start(): Failed to read session data: files (path: ) in /www/wwwroot/www.tuzhiw.com/config.php on line 13
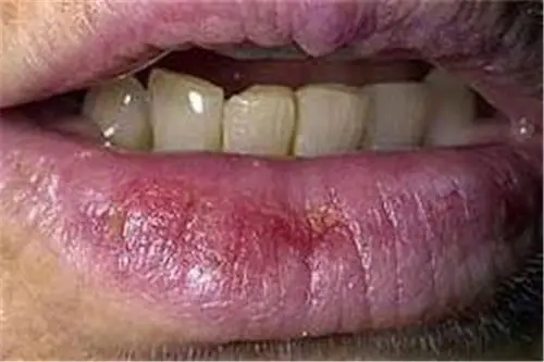
下嘴唇最初起了一个白点两周多没有好求诊断 - 图知网

下嘴唇最初起了一个白点两周多没有好求诊断

相关图片

为你推荐

白敬亭工作室|白敬亭壁纸 我自己还蛮喜欢跟自己较劲这点的,稚少

黄色标签yes手势矢量素材

4月7日,演员蒋勤勤出席某项线下活动,一袭修身黑裙让她惊艳全场.

适合成熟男士的漫画微信头像,看起来就舒服

2021火爆全网的欧美风霸气女生头像 变优秀才会有人为你着迷

尴尬_尴尬表情

一汽-大众奥迪 奥迪q5l 2020款 45 tfsi 尊享时尚型

兼容乐高积木f22猛禽战斗机高难度巨大型10000粒18岁以上男生礼物


Warning: file_put_contents(/www/wwwroot/www.tuzhiw.com/cache/image/0e1e9a4556534db398f548d6fc9a1f29.html): Failed to open stream: No space left on device in /www/wwwroot/www.tuzhiw.com/config.php on line 196