图知网
搜索
首页
热门推荐
图片分类
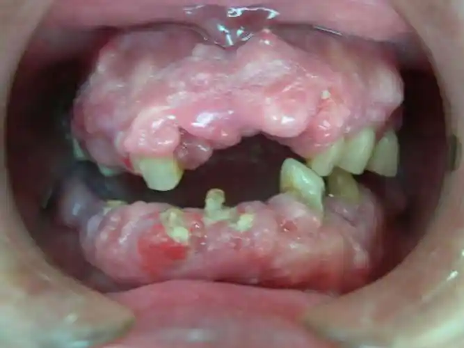
为什么牙周炎症越早治疗疗效越好?武汉第一口腔告诉你答案
下载原图
相关图片
牙周炎治疗前后对比照片
牙周炎治疗前后比较
牙周炎是什么样的症状?早预防早处理【乐山启辰口腔】_治疗_牙龈_杀手
边缘性龈炎的症状和图片 - 有来医生
牙周病的高发人群都有哪些?
病历3 慢性牙周炎术后口内照
为你推荐
男人黑白头像男人味 高清帅气的头像男成熟魅力黑白图片_男生头像
1/ 4 梅艳芳,出生于中国香港,祖籍广西合浦,是音乐界的明星,当时非常
有哪位gg,mm有24孔口琴的生日歌琴谱?
熊猫摇晃表情包有哪些抱着东西来场社会摇表情包分享
粉色房车简笔画
日光灯电路接法 作为电工必须掌握(1)
碧莎尔多肉浇花神器花洒水壶浇花壶家用小盆栽喷头浇水壶喷壶喷水壶长
手卷烟与成品烟优势对比_国丝_烟丝_烟叶