图知网
搜索
首页
热门推荐
图片分类
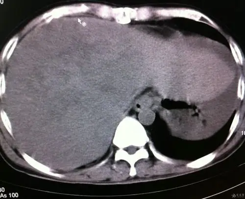
术中发现肝右前分支血管破裂,造影剂外溢!
下载原图
相关图片
20岁的他,肝脏大范围破裂!
我院成功完成一例外伤性肝破裂第七段切除术
请教外伤性肝破裂术后胆汁瘘的后续治疗
肝破裂.jpg
ct在诊断肝损伤中的价值
图2c肝脏成扇贝样改变(肝脏由于受肿瘤实质性或囊性组织压迫而其实质
为你推荐
《庆余年》第二季开播,女演员古装大pk,谁是"古装第一
陈益峰:细谈人中与命运吉凶
albertaferrettiss2019时装秀户外工装和飘逸雪纺齐上阵
无人机喷洒农药
小小图片头像图片大全_微信头像图片大全
假面骑士壁纸欧兹我的摩托帅吗
生浩玻璃钢罐杜绝渗漏
速干衣,夏日上班通勤户外最佳选择,全球10款顶级短袖速干衣推荐