图知网
搜索
首页
热门推荐
图片分类
牙龈增生
下载原图
相关图片
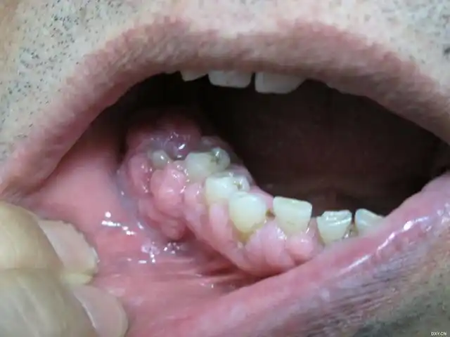
这是一位44岁患者的口腔,严重的牙龈增生,长期服用硝苯地平片的缘故.
【求助】牙龈增生图片,治疗,请大家支招
牙龈增生
牙龈上长出一个白色的硬包,这是什么情况【有图】
孕4月中旬,牙龈增生严重怎么办啊,能不能吃药啊
牙龈增生
为你推荐
可爱简笔画教程:皮卡丘7815
比翼齐飞用小号小提琴在卡通音乐室矢量插图照片
蔡志忠今天在少林寺出家
儿童画初级班,第六课《美丽的树林》
市政府大楼
相思之情,穿山水
红双喜
气球布置