Warning: session_start(): open(/tmp/sess_fcnk0r1007hgcabjetvl5vffp1, O_RDWR) failed: No space left on device (28) in /www/wwwroot/www.tuzhiw.com/config.php on line 13

Warning: session_start(): Failed to read session data: files (path: ) in /www/wwwroot/www.tuzhiw.com/config.php on line 13
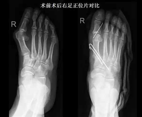
陈圣英分析拇外翻矫正削骨不是关键矫正才是关键 - 图知网

陈圣英分析拇外翻矫正削骨不是关键矫正才是关键

相关图片

为你推荐

20岁183cm的大学运动男生,身材好到被盗图_照片_视频_因为

葛优_张嘉译_动作

十二个月简谱(图1)

北京航空航天大学创业管理培训学院2021届毕业视频_哔哩哔哩_bilibili

母亲节主题儿童画

实用的施工现场工地洗车槽 沉淀池cad图纸洗车池沉淀池cad图纸

欧式建筑

福鼎白茶寿眉散装 2015年陈年贡眉高山老白茶叶枣香梅子香 礼盒装