图知网
搜索
首页
热门推荐
图片分类
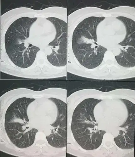
肺部结节(肿块)≠ 肺癌,出现这些症状需要高度警惕肺癌-皮皮自媒体
下载原图
相关图片
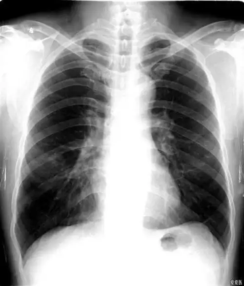
肺科视界:右肺中叶综合征
右肺中叶综合征的鉴别诊断
中叶综合征(肺叶楔形切除后,一个月仍见较多胸腔积液病例汇总)
右肺中叶改变
缺失,头发稀少,干燥,遍布全身的皮疹,沿着外耳道流脓,和肺部湿啰音
但是两个不同的病,右上肺大的,这个是一个结核瘤,右肺中叶这个小一点
为你推荐
77之前说吻戏是短版,我们来看看#杨紫 #成毅 #高甜吻戏片段
环球音乐与时代峰峻达成战略合作伙伴关系
她油画里的芭蕾又仙又美
12张赛车小汽车男生最喜欢的汽车卡通涂色图片-红豆饭小学生简笔画
不健全关系 滕瑞雨 钱错 - 堆糖,美图壁纸兴趣社区
俄战机轰炸居民楼 初生双胞胎婴儿同日亡
日本老牌男歌手有哪些
精 #星知计划#百科故事:牛郎星与织女星