图知网
搜索
首页
热门推荐
图片分类
湖南邵阳这七大旅游景点,不去后悔!
下载原图
相关图片
湖南邵阳旅游景点(一入秋) - 悦闻天下
邵阳旅游景点大全(邵阳风景区有哪些景点)
湖南邵阳花瑶4a景区 - 抖音
崀山风景风景名胜名胜区套票湖南邵阳周边游景区门票国内票务
湖南邵阳6个最佳旅游景点,邵阳周边好玩的地方推荐
湖南邵阳旅游必去十大景点排名邵阳一日游最好去处
为你推荐
电影《八佰》里的苏州小演员,就是他们!
超可爱动漫情侣背景图
冰山雪莲花.最美的分享给你,用你的智慧描绘此景"陪你一起看雪 - 抖音
原创为什么欧洲阿尔卑斯山脉的迎风坡是北坡而不是南坡呢
铁线莲花苗重瓣大花虹越庭院阳台花卉大河蓝光皇帝攀援爬藤植物
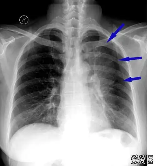
发张典型的左肺上叶不张的图片,大家看下哈 - 医学影像学讨论版 - 爱
素描头像白头发男老年处理 - 抖音
夏天花草长势生机勃勃,花儿在绿色草地上,显得光彩灿烂