图知网
搜索
首页
热门推荐
图片分类
教育病理显微镜下观察人透明软骨骨.人体组织phisiology.
下载原图
相关图片
透明软骨
显微镜下透明软骨横切面
显微镜下透明软骨横切面
教育病理显微镜下观察人透明软骨骨.人体组织.图片下载
软骨,骨骼,在下面,横截面,显微镜
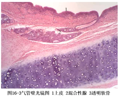
外膜:较厚,气管主要含c字形透明软骨环,软骨环的缺口处为气管膜性部
为你推荐
首届全国少数民族优秀舞蹈作品展演在呼和浩特落幕
【二次元美少女头像分享】 害羞又高冷的美少女.
古风场景
我要上热门#手绘火影人物鸣人
"小水"平采娜出席活动,吊带裙穿出少女感,这颜值绝了!
古田礼盒(非卖)
甜心超人
合影墙拍照墙打卡点互动拍照网红打卡1943