图知网
搜索
首页
热门推荐
图片分类
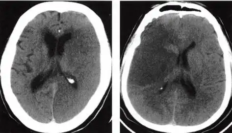
多发性腔隙性脑梗死的临床表现
下载原图
相关图片
大面积脑梗死的介绍及图片展示_脑梗塞_脑梗塞介绍 - 好大夫在线
心脑血管疾病知识普及:脑梗死,脑血栓与脑出血的异同
出血性脑梗塞大脑图片
脑梗死的抗栓治疗_脑梗塞_脑梗塞治疗方式 - 好大夫在线
腔隙性脑梗死到底是不是真正的脑梗死?有何症状?
经典总结急性期脑梗死的影像学特点及几个重要征象建议收藏
为你推荐
> 王安宇酷帅寸头写真图片(1/6)
gai周延老婆是干嘛的家庭背景揭秘gai周延和她老婆在一起多久了
希儿头像-崩坏3社区-米游社
祁隆cd
中国泰山504拖拉机质量怎么样,哪些品牌50-100马力轮式拖拉机畅销
戏曲凤冠京剧贵妃醉酒凤冠三凤冠中式婚礼凤冠霞帔新娘凤冠五凤冠
吕雉虽是毒蝎皇后但也有可称道的地方有很大的历史功绩
全球产量最多的14种枪械,ak产量过亿,英77系列排第二_型号_突击步枪