图知网
搜索
首页
热门推荐
图片分类
学生作品星座之白羊座
下载原图
相关图片
简笔画白羊座简单的
白羊座74
白羊座简笔画
白羊座一枚
白羊座简笔画图片
白羊座画十二生肖星座黑白星座白羊座
为你推荐
暴漫帽子手指看一次瞎一次才会高度近视gif动图_动态图_表情包下载
壁纸@曲面屏专属壁纸
赛尔号:缪斯抱着濒死的盖亚痛哭不止,战神联盟兄弟却在看笑话?
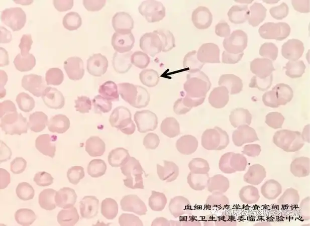
卫健委临检中心2020年血细胞形态学检查室间质量评价及答案|红细胞
龙岗区青少年活动中心"后浪少年团"成立啦!_手机搜狐网
"陆无双"简佩筠近况,2度流产后终身不育,47岁成商界女强人_腾讯新闻
韩国超甜女团kara出道 15 周年,王者归来_偶像_专辑_白色
霸王别姬