图知网
搜索
首页
热门推荐
图片分类
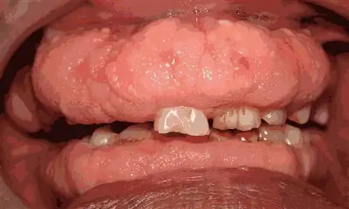
牙龈癌怎么形成的
下载原图
相关图片
牙龈癌的早期症状和图片以及引起牙龈癌的原因都在这里
如何治疗?_牙龈癌_介绍_症状表现_治疗方式 - 好大夫在线
典型病例05-牙龈癌 - 好大夫在线
牙龈癌是什么原因引起的有什么具体症状吗不治疗的话会有什么后果
牙龈癌早期症状图片(55)
牙龈癌
为你推荐
唐三头像
《斗罗》134小舞献祭:榨干最后点生命,只为彼此的爱人|斗罗大陆|唐三
绘画教程二次元动漫人物参考练习
【马嘉祺×宋亚轩】你俩的油麦细胞,也太好笑了吧
零基础学电工先要学会这些最基本的电路图
独孤:尉迟宽一句话令嫣儿死不瞑目,文姬却记恨伽罗害死母亲!优质
铁岭perkins2506涡轮增压器市场报价铂金斯
花样馒头的做法步骤图解-花样馒头怎么做好吃-菜谱大全-乐做菜