图知网
搜索
首页
热门推荐
图片分类
右足跟骨骨折
下载原图
相关图片
骨二科开展足踝矫形手术
脚踝部影像
目前是嘛嘛的感觉,请知情者告知,谢谢!
那位好心的医生帮忙看下,这是我的ct片子,我脚是要多久可以好,现在
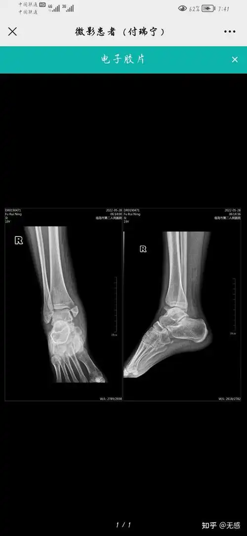
同仁们看看我女儿这个足x片
x线及ct - 影像医学和核医学讨论版 -丁香园论坛
为你推荐
番禺人小时候的回忆曾经是市桥繁华地风光数十年如今
《父母爱情》无法翻拍的原因:灵魂人物已去世,三个角色无法超越
一杯简单的白开水,给人一种纯粹的思想
儿童紧身长裤女童运动篮球打底裤跑步训练服套装足球速干衣健身裤
五菱微旅车正式上市比房车更加实用起售价888万
铜钱草的水平法
天帝天痕,冰火魔厨融念冰,琴帝叶音竹,海神唐三,善良之神烈焰,邪恶之
3版本】半虚一户:别看我击倒技能多,我也有十割!