图知网
搜索
首页
热门推荐
图片分类
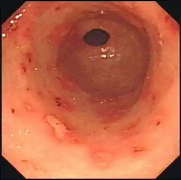
求助慢性胃炎糜烂出血反流性食道炎治疗方案
下载原图
相关图片
急性糜烂性胃炎的临床表现
慢性非萎缩性胃炎伴出血,糜烂的图片 - 好大夫在线
71岁老年男性,胃部不适行胃镜检查,提示胃炎伴糜烂,但是病理 - 抖音
解读胃镜报告——糜烂,溃疡和肠化_胃镜_胃镜相关疾病 - 好大夫在线
在西安第四军医大学西京医院拍的胃镜片,胃的充血水肿糜烂严重程度
慢性胃炎
为你推荐
卡通壁纸|小熊小兔|小恐龙|可爱小清新壁纸
渔光曲简谱
书画联盟丨当代山水画八大家之一笔下的江南水乡美得梦幻
女娲山位于十堰市竹山县宝丰镇境内,是鄂,渝,陕三省交汇之地,北接秦陕
大长今》笛子独奏
两间三层别墅设计图
【连锁药房正品,湖南卫视榜上产品】辅仁梦安五加参归芪精口服液20支
dl-精氨酸|dl-arginine|7200-25-1|alfa|98%||25g