图知网
搜索
首页
热门推荐
图片分类
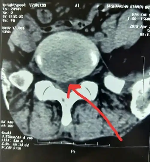
腰椎间盘突出症的症状,检查及治疗_腰椎间盘突出_症状表现_检查_治疗
下载原图
相关图片
腰椎间盘突出症的症状,检查及治疗_腰椎间盘突出_症状表现_检查_治疗
脊动力健康课堂ctx片mri在腰椎间盘突出的诊断中各有什么作用
十分钟学会看懂腰椎间盘突出ct及mri教程
椎间盘膨出 黄色箭头:椎间盘突出 红色箭头:椎间盘脱出 腰椎间盘突出
中央台腰椎肩盘突出治疗仪_腰椎间盘突出断根秘方_腰椎尖盘突出症的
腰椎间盘突出可以选择做哪些检查做了ct还需要做磁共振吗
为你推荐
五台山清凉寺
工业设备维修报价单模板1页
凌波(香港邵氏著名女演员)_百度百科
抖音图文来了 七种厨房基础尺寸,让你的厨房更具舒适感#室内 - 兑音
脚丫简笔画怎么画
女生头像 韩国
暗黑系二次元同人动漫桌面壁纸
抖音比克大魔王