图知网
搜索
首页
热门推荐
图片分类
世界防治结核病日肺结核能防能治全民行动健康呼吸
下载原图
相关图片
原创江苏扬州大学爆肺结核疫情校方数名患病学生已入院治疗
结核分枝杆菌感染肺结核
"白色瘟疫"肺结核:不要忽略这些信号,守护呼吸健康_腾讯新闻
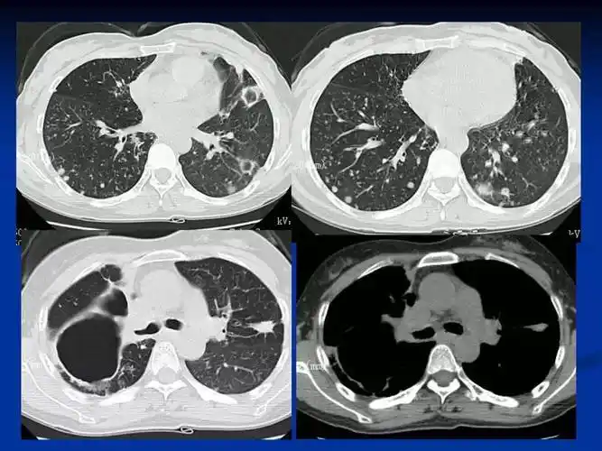
肺结核的影像诊断与鉴别
健康科普预防结核病你我不能掉队
肺结核病人吃什么好
为你推荐
高清头像微信2021年最新版男 男生头像图片大全 -【爱个性】
陪王俊凯奔赴每一个十年
校园青春偶像剧10部必看的青春校园剧
卫子夫
彩椒炒肉丝
赤井秀一
中华刺鳅
道教协会道家书画院艺术委员弘真道人择日手写开光《北斗星君延寿符》