图知网
搜索
首页
热门推荐
图片分类
刀的意思是什么_刀的笔顺,笔画,部首-汉语字典
下载原图
相关图片
刀的笔顺笔画怎么写(刀的笔画,拼音,解释及成语详解)
硬笔楷书练习基础笔画横折钩刀字写
刀的笔顺笔画
刀字的拼音:dao刀的繁体字:刀(若无繁体,则显示本字)刀字的笔画数:2刀
漂亮的小刀简笔画步骤图解教程,图片,简笔画-学笔画
刀怎么画
为你推荐
7月10日,宋慧乔在自己的ins账号上晒出了她的照片.
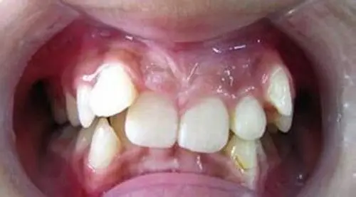
推荐阅读>>>虎牙太过突出应该拔除还是矫正?
易烊千玺,周冬雨,刘昊然三人眼中满是情绪!
王俊凯亲笔签名系列270真的是好久不见啦
《gq》杂志库里最新写真
室外扶手高度是多少_漂亮女人街
大气简约几何图形商务ppt背景
男女标准体重表(仅供参考)