图知网
搜索
首页
热门推荐
图片分类
【燃向mad】铠甲勇士~跨越最高的山峰【帝皇x雅塔莱斯x捕王】
下载原图
相关图片
战斗通往胜利铠甲勇士299难度
鼓谱:《战斗-通往胜利》-陈致逸 铠甲勇士超燃bgm_哔哩哔哩_bilibili
铠甲勇士
战斗-通往胜利钢琴谱-陈致逸-c调-《铠甲勇士 电视剧》插曲-虫虫钢琴
《战斗通往胜利》#钢琴谱#战斗通往胜利#铠甲勇士 - 抖音
通往胜利之路——铠甲勇士帝皇侠_哔哩哔哩 (゜-゜)つロ 干杯~-bili
为你推荐
抗疫海报
辛芷蕾撑住了贴头皮造型#辛芷蕾的贴头皮发型尽显个性,气场全开,时尚
密农人家 水库野生 新鲜捕捞草鱼 1000g 袋装
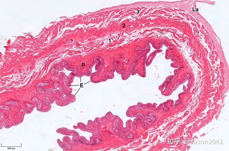
膀胱变移上皮的微观形态
凳子简笔画怎么画凳子的简笔画步骤图解教程凳子简笔画教学视频小朋友
09:01:03钢 蓝色 精钢wb6007825白金会员是真表,感谢245号客服王威威
女孩因圆韧带的发育过程也有鞘状突存在,所以女宝宝有疝气不要奇怪.
2019新款流行裙子网红时尚连衣裙收腰显瘦气质v领夏天